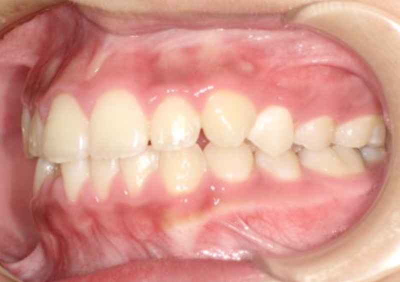
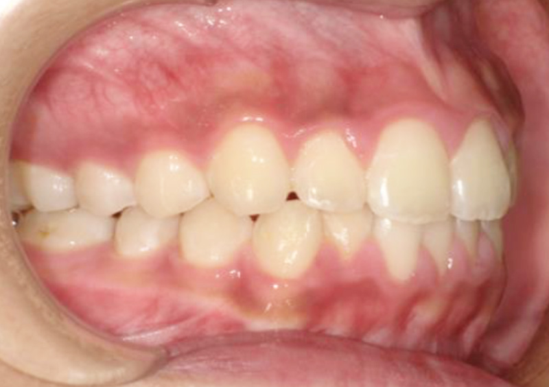
子供の矯正治療 大人の歯が生えてくるスペースがない 2025.10.21 【マルチブラケット矯正】大人の歯が生えてくるスペースがない 治療前 治療後 担当医 一瀬 悠依華 先生 主訴 大人の歯が生えてくるスペースがない 期間 2年3か月 費用 30万円(小児矯正) 治療内容 マルチブラケット装置(ホワイト) 治療に伴うリスク 歯根吸収、歯肉退縮 関連症例