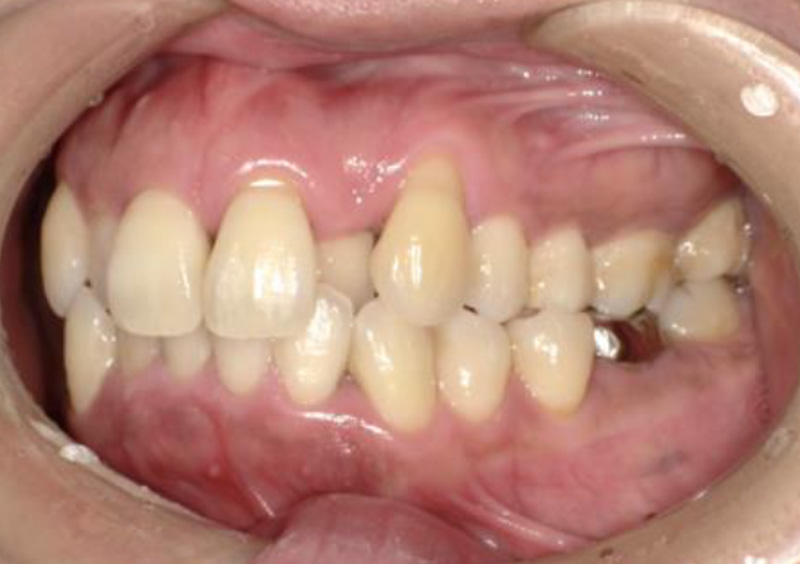
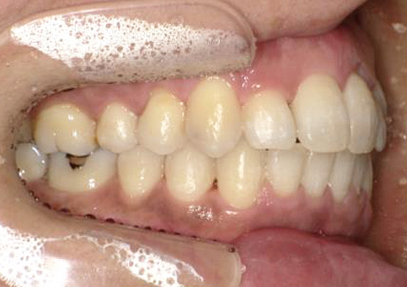
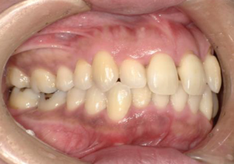
大人の矯正治療 歯ががたついている(叢生) 2025.10.22 【マルチブラケット矯正】前歯のがたつきが気になる 治療前 治療後 担当医 一瀬 悠依華 先生 主訴 前歯のがたつきが気になる 期間 1年 費用 39万円 治療内容 マルチブラケット装置(上下前歯部分矯正) 治療に伴うリスク 歯根吸収、歯肉退縮 関連症例