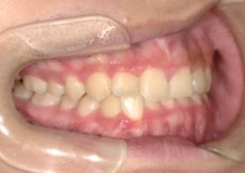
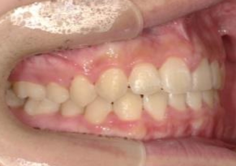
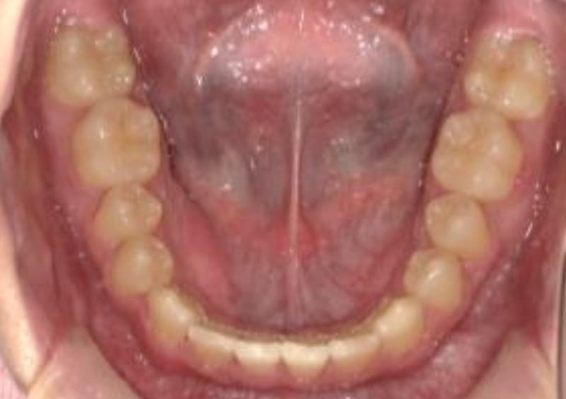
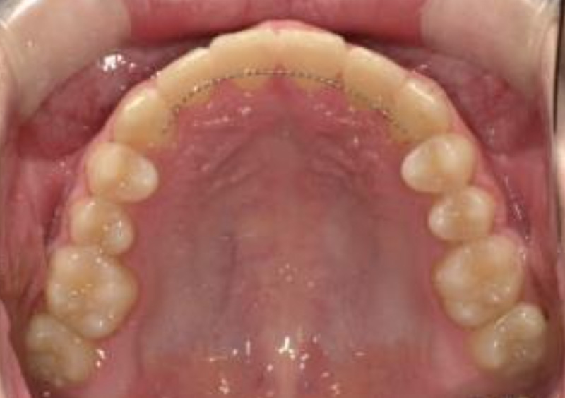
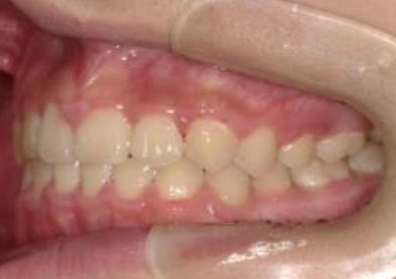
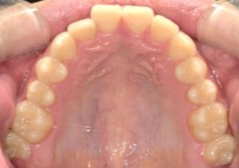
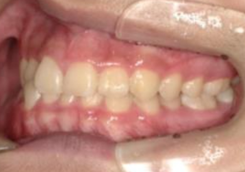
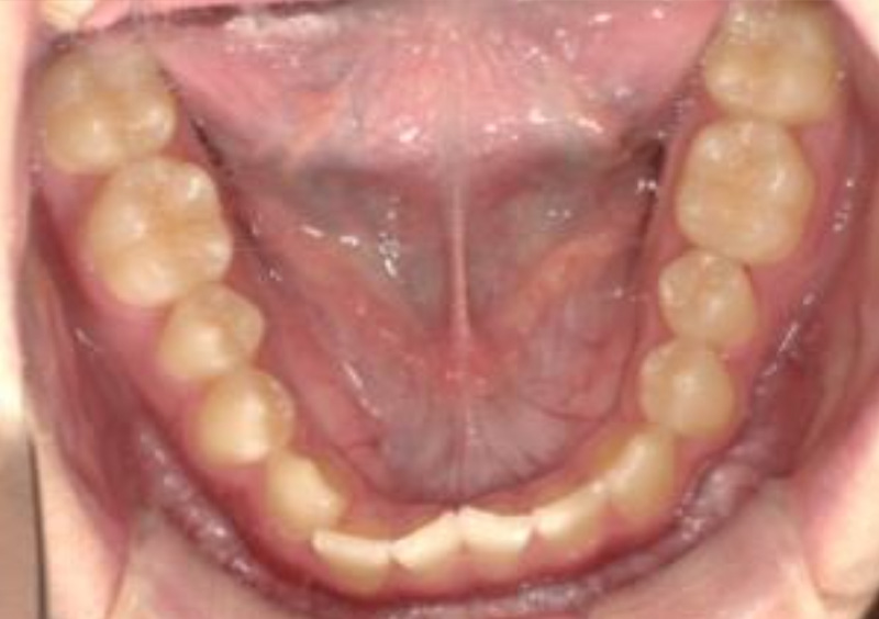
大人の矯正治療 噛み合わせが深すぎる(過蓋咬合) 2026.03.19 【マルチブラケット矯正】かみ合わせが深いのが気になる 治療前 治療後 担当医 一瀬 悠依華 先生 主訴 かみ合わせが深いのが気になる 期間 1年3か月 費用 88万円 治療内容 マルチブラケット装置 治療に伴うリスク 歯根吸収、歯肉退縮 関連症例