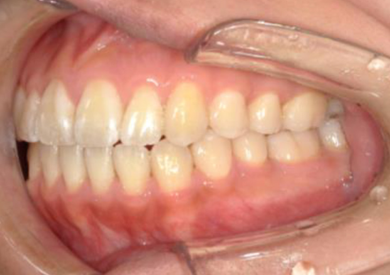
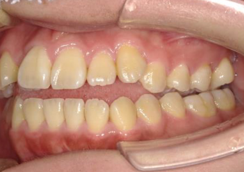
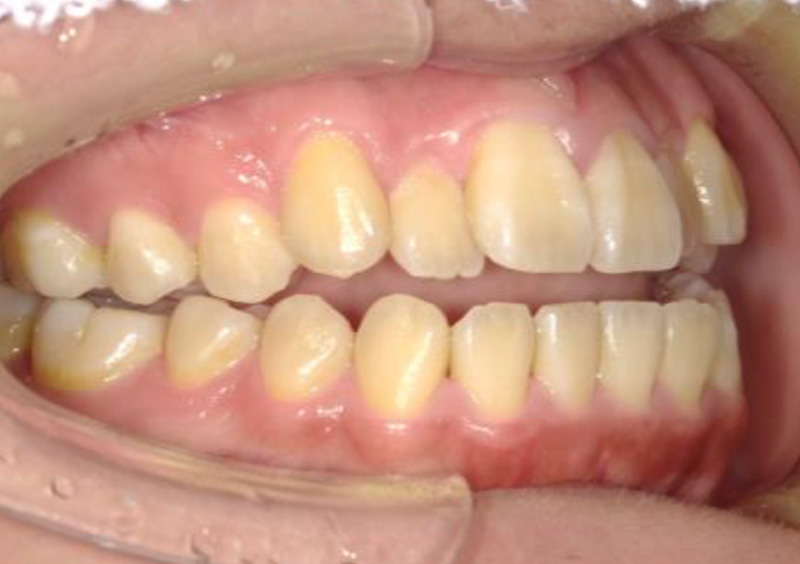
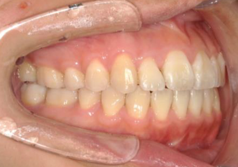
大人の矯正治療 上下で噛み合わない(開咬) 2025.10.24 【マルチブラケット矯正】ご飯が噛みにくい 治療前 治療後 担当医 一瀬 悠依華 先生 主訴 ご飯が噛みにくい 期間 2年半 費用 65万円 治療内容 マルチブラケット装置 治療に伴うリスク 歯根吸収、歯肉退縮 関連症例