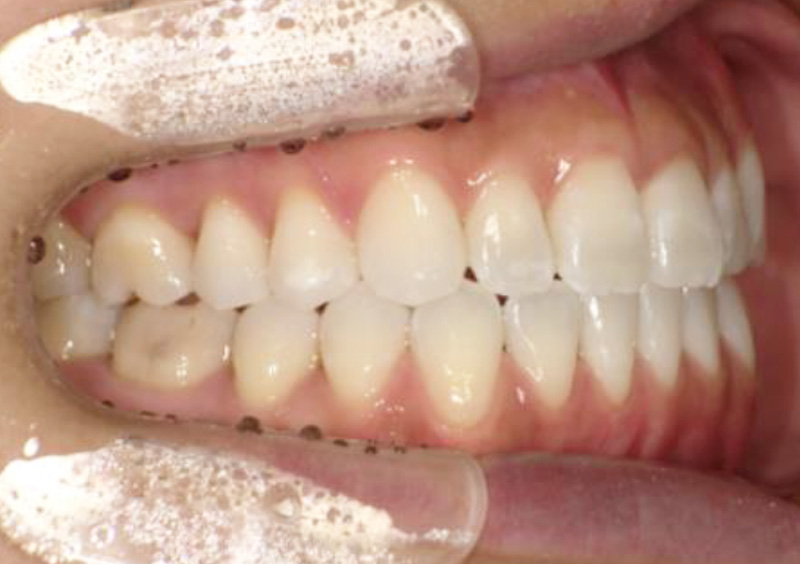
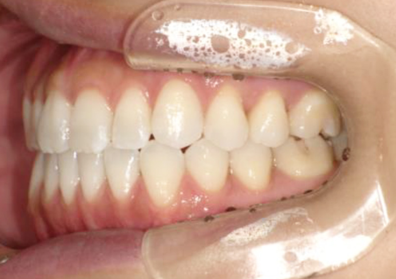
大人の矯正治療 噛み合わせが悪い(不正咬合) 2025.10.23 【マルチブラケット矯正】他院にてマウスピース矯正を行い、奥歯が噛まずに咬みにくい 治療前 治療後 担当医 一瀬 悠依華 先生 主訴 他院にてマウスピース矯正を行い、奥歯が噛まずに咬みにくい 期間 1年 費用 67万円 治療内容 マルチブラケット装置 治療に伴うリスク 歯根吸収、歯肉退縮 関連症例