- ホーム
- 症例
症例
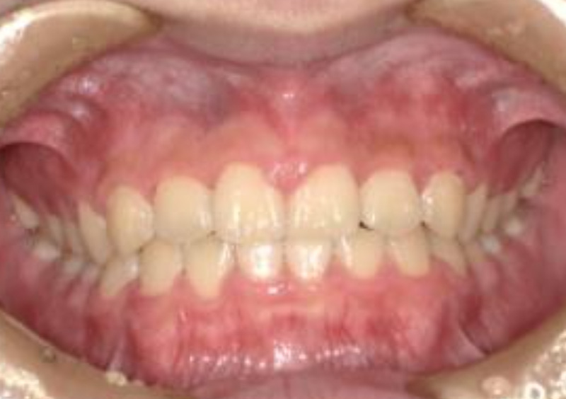
【マルチブラケット矯正】
隙間が気になる
【マルチブラケット矯正】
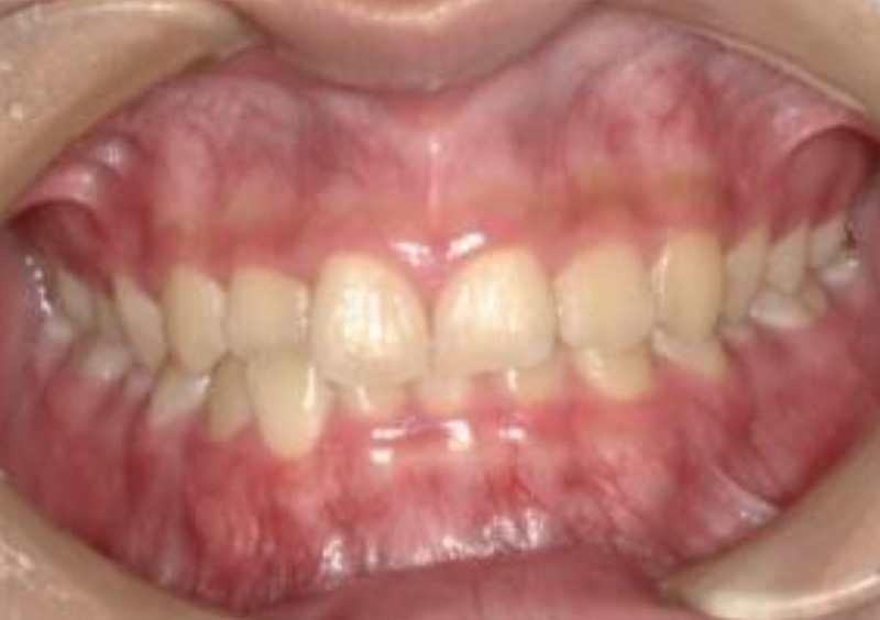
かみ合わせが深いのが
気になる
- 担当医
- 一瀬 悠依華 先生
- 主訴
- かみ合わせが深いのが気になる
- 期間
- 1年3か月
- 費用
- 88万円
- 治療内容
- マルチブラケット装置
- 治療に伴うリスク
- 歯根吸収、歯肉退縮
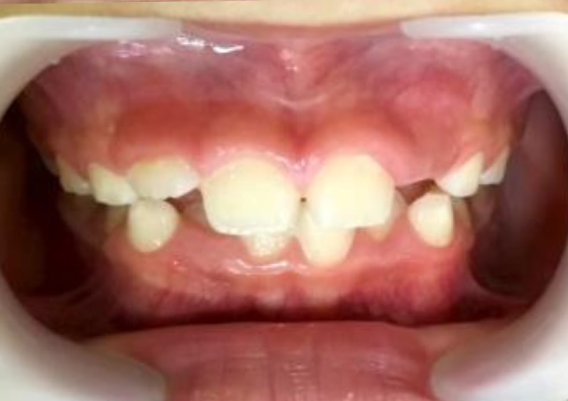
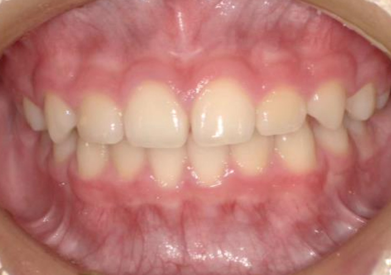
【プレオルソ】
大人の歯が生えてくる
スペースがない
- 担当医
- 一瀬 悠依華 先生
- 主訴
- 大人の歯が生えてくるスペースがない
- 期間
- 4年
- 費用
- 35万円(小児矯正)
- 治療内容
- プレオルソ
- 治療に伴うリスク
- 歯根吸収、歯肉退縮





