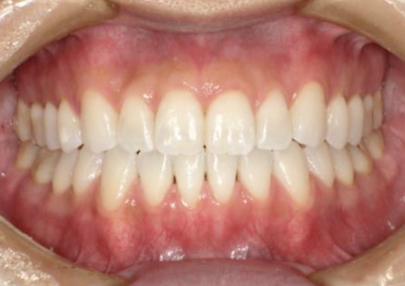
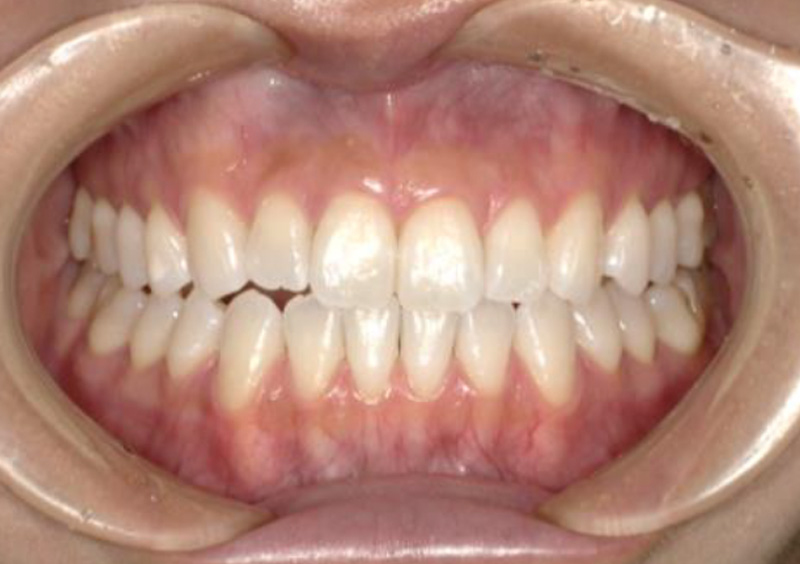
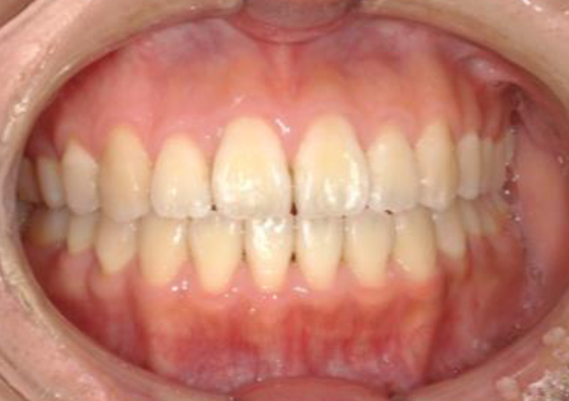
症例
【マルチブラケット矯正】
ご飯が噛みにくい
- 担当医
- 一瀬 悠依華 先生
- 主訴
- ご飯が噛みにくい
- 期間
- 2年半
- 費用
- 65万円
- 治療内容
- マルチブラケット装置
- 治療に伴うリスク
- 歯根吸収、歯肉退縮
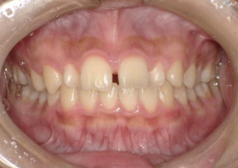
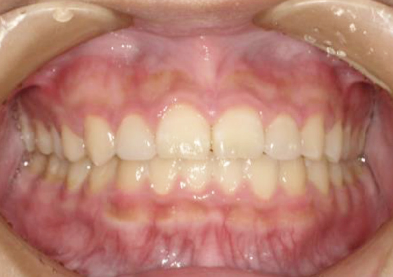
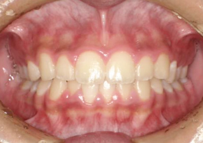
【マルチブラケット矯正】
隙間が気になる
- 担当医
- 一瀬 悠依華 先生
- 主訴
- 隙間が気になる。
- 期間
- 2年半
- 費用
- 65万円
- 治療内容
- マルチブラケット装置
- 治療に伴うリスク
- 歯根吸収、歯肉退縮
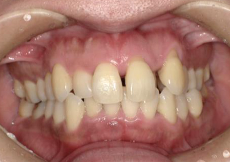
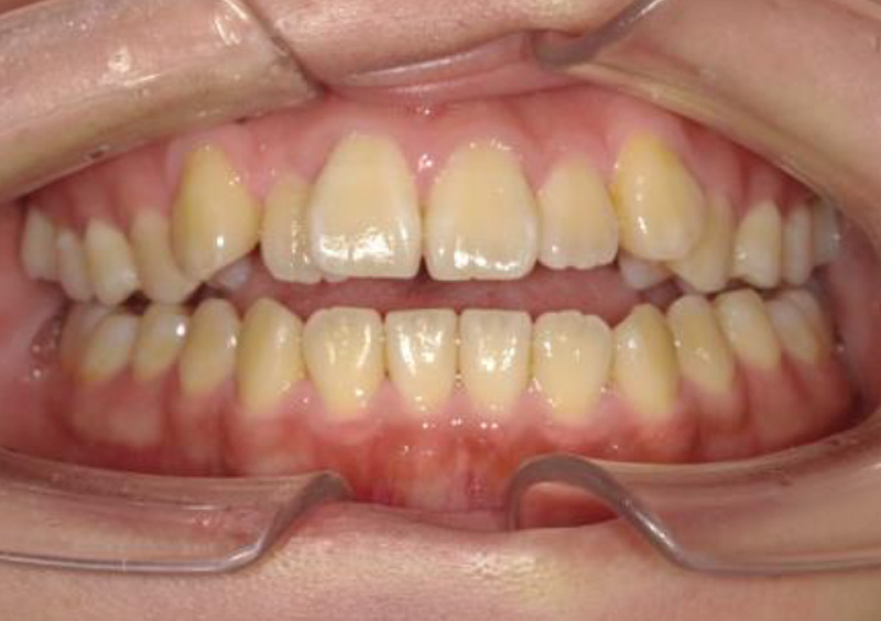
【マルチブラケット矯正】
他院にてマウスピース矯正
を行い、奥歯が噛まずに
咬みにくい
- 担当医
- 一瀬 悠依華 先生
- 主訴
- 他院にてマウスピース矯正を行い、奥歯が噛まずに咬みにくい
- 期間
- 1年
- 費用
- 67万円
- 治療内容
- マルチブラケット装置
- 治療に伴うリスク
- 歯根吸収、歯肉退縮
【マルチブラケット矯正】
前歯のがたつきが気になる
- 担当医
- 一瀬 悠依華 先生
- 主訴
- 前歯のがたつきが気になる
- 期間
- 1年
- 費用
- 39万円
- 治療内容
- マルチブラケット装置(上下前歯部分矯正)
- 治療に伴うリスク
- 歯根吸収、歯肉退縮
【マルチブラケット矯正】
大人の歯が生えてくる
スペースがない
- 担当医
- 一瀬 悠依華 先生
- 主訴
- 大人の歯が生えてくるスペースがない
- 期間
- 2年3か月
- 費用
- 30万円(小児矯正)
- 治療内容
- マルチブラケット装置(ホワイト)
- 治療に伴うリスク
- 歯根吸収、歯肉退縮